ホーランドロップの肝葉捻転(エキゾチックアニマル)さいたま市/南浦和/川口市/動物病院
ウサギの肝葉捻転。最近あちこちで耳にすることがあるかと思います。
当院でも数年前より手術をする症例が増えています。先日来日されたアメリカの獣医さんも、アメリカでも増えていると仰られておりました。これは増えているというより、今までもあったが、その病気の報告が少なく検査・治療の指針がなく見逃されていたと考えられます。
肝葉捻転とは、葉っぱのようになっている(肝葉)の1つの葉が何かしらかの原因で捻じれてしまう状態を指します。捻じれた肝臓は出血し、壊死します。詳細な原因は不明ですが胃が張ってしまったあとに続発するとされています。ホーランドロップさんで多いです。私はホーランドロップ以外ではまだ診たことがないです。そして尾状葉という肝葉が捻じれることが多いです。
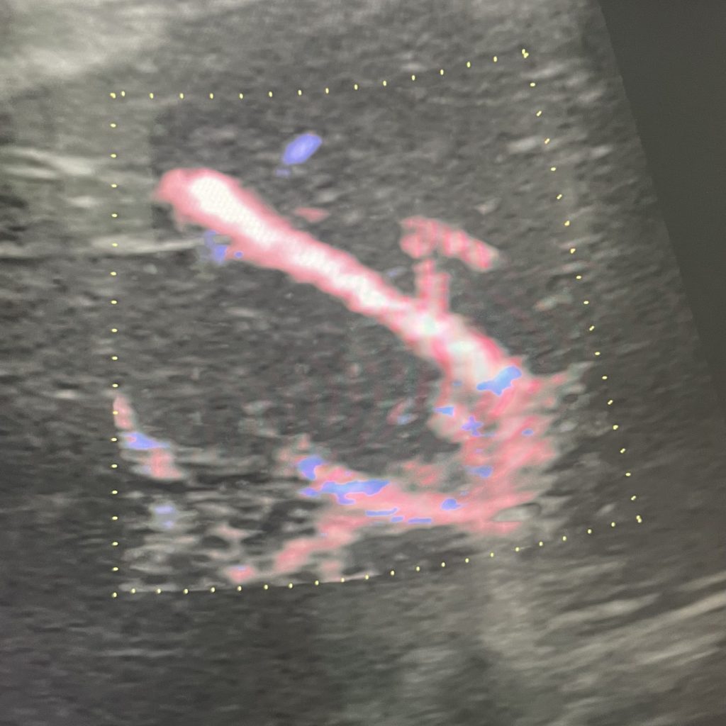
症状は「食べない」です。たまに血尿(血色素尿)がでることもありますが、症状でうっ滞との区別は困難です。触診で胃が硬くさわれることも、でもこれも特異的な所見ではありません。レントゲンを撮ってもぱっとしないことが多いです。(たまに肝臓の腫大を認めることがあります)。よって、一般的な「うっ滞」として対症療法を選択されてしまうことがあります。なので、当院ではホーランドさんの”急性”のうっ滞は早めに血液検査を推奨しています。肝葉捻転になりたての時期は大体、肝障害の数値が上昇します。ただ・・・時間の経過したものは数値が下がってしまうこともあり診断が困難になります。肝数値が高かったり、お腹の中で出血して貧血やTPの低下を認めた場合はすぐに超音波検査を実施します。このウサギの尾状葉、存在する場所が当然決まっており、そこをめがけて超音波をすると・・・

オレンジで囲まれた場所が尾状葉です。カラードップラーといって血流を見る検査で全く血流がないことがわかります。(青線は腎臓です)
近くの肝臓は・・・

このように赤と青で色がついています。これはしっかり肝静脈に血流があることを示しています。
でも、わかりにくいこともあります。
さて、超音波検査をして肝葉捻転が疑われた場合、治療を選択する必要があります。
現時点では外科的摘出が生存率が高いとされています。実際、開腹して周囲に血だまりができていたり、大きく壊死した肝臓をみると手術が良いのかと思います。壊死した肝臓が悪さをしてショックを起こし死亡する点が指摘されている観点からも手術が推奨されますが、麻酔リスク、出血リスクもあります。実際、過去に肝要捻転を起こし内科的に回復したと思われる所見を偶発的に認めることもあるため、内科治療が絶対よくないとも言えません。ただ内科治療は回復が遅くし、死亡することもあります。時間が経過した症例では内科治療を選択せざるを得ないこともあります。
冒頭で記載したように、今までであれば「うっ滞が回復せずに死亡した」というウサギの中に肝葉捻転の症例が隠れていたものと思われます。やはり現時点では個体の状態にもよりますが「手術」が良いと考えます。
今後、医療が発展し、もっと情報が集まれば治療の指針がしっかりできてくるかもしれません。当ブログ内の情報はあくまでも現時点での情報です。今後、しっかりした原因がわかったり、もっと良い検査方法や治療方法が報告されるかもしれません。
同じように過去のブログに、うっ滞と思ったら・・・急死する可能性のある疾患として「急性胃拡張」も記載しております。この急性胃拡張は正式には毛を原因とした小腸閉塞とされています。こちらは内か治療が基本とされております。過去のブログをご参照ください。
いずれにしても、ウサギさんの食べない・うっ滞について、今後はもっと原因が細分化され、今までであれば点滴・注射で済ませていたものに対して、適切な検査・治療が必要とされる時代になるかと思われます。実際、いろんな検査をしても原因が特的できず治療もうまくいかないウサギさんの食欲不振に遭遇することは未だに数多くあります。今後、そういったウサギさんたちを救えるように医療が進歩していくといいですね。